哇,你知道吗?现在牙齿美容界可是掀起了一股国产全瓷牙的热潮!这不,我最近可是搜集到了一大堆国产全瓷牙效果图大全和视频,简直让人眼花缭乱。接下来,就让我带你一起走进这个美牙的世界,看看这些国产全瓷牙到底有多美吧!

近年来,随着我国口腔医疗技术的飞速发展,国产全瓷牙逐渐崭露头角。相较于进口全瓷牙,国产全瓷牙在价格上更具优势,而且品质也在不断提升。许多消费者纷纷将目光投向了国产全瓷牙,希望以更实惠的价格拥有一口好牙。

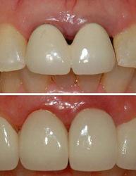
1. 自然美观:国产全瓷牙在颜色和形态上与真牙几乎无异,无论是微笑还是说话,都能展现出自然的美感。不信?那就来看看这些效果图吧!
2. 个性化定制:每个人的牙齿形状和颜色都有所不同,国产全瓷牙可以根据个人需求进行个性化定制,让你的牙齿焕然一新。
3. 耐磨耐用:国产全瓷牙采用高品质材料,具有极高的耐磨性和耐用性,使用寿命长达几十年,让你无需担心牙齿的美观问题。
4. 舒适度佳:国产全瓷牙与牙龈贴合度高,不会产生刺激感,让你在享受美丽牙齿的同时,也能感受到舒适。

1. 术前术后对比:通过视频,我们可以直观地看到患者在接受国产全瓷牙治疗前后的变化,感受全瓷牙带来的神奇效果。
2. 专家讲解:口腔专家会详细讲解国产全瓷牙的原理、优势以及注意事项,让你对全瓷牙有更深入的了解。
3. 真实案例分享:许多患者在接受国产全瓷牙治疗后,都会分享自己的真实感受和变化,让你对全瓷牙的信心倍增。
1. 了解自己的需求:在决定做全瓷牙之前,首先要了解自己的牙齿状况和需求,选择适合自己的全瓷牙类型。
2. 咨询专业医生:在口腔医院,医生会根据你的牙齿状况为你推荐合适的全瓷牙品牌和型号。
3. 关注性价比:在保证品质的前提下,选择性价比高的国产全瓷牙,既能满足美观需求,又能节省开支。
1. 保持口腔卫生:每天早晚刷牙,使用牙线清理牙缝,保持口腔清洁。
2. 定期检查:每隔一段时间,到口腔医院进行口腔检查,及时发现并处理问题。
3. 避免硬物损伤:在咀嚼食物时,尽量避免使用全瓷牙咬硬物,以免造成损伤。
国产全瓷牙以其美观、耐用、舒适的特点,受到了越来越多消费者的喜爱。如果你也想拥有一口好牙,不妨试试国产全瓷牙吧!相信在这些效果图和视频的见证下,你一定会找到适合自己的那一款!
本文由admin于2026-03-22发表在吃瓜爆料,如有疑问,请联系我们。
本文链接:https://www.zyczj.com/post/774.html